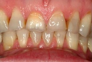
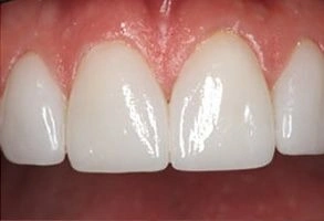
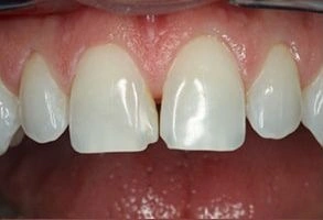
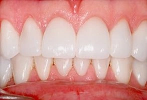
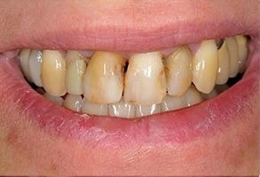
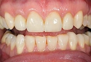
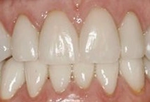
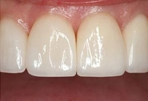
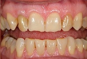
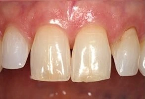
I had an outstanding experience at Riverwalk Dental Arts with Dr. Nemish Shah. The office is state-of-the-art, beautifully designed, and run by a team that clearly cares about their patients.
Dr. Shah combines exceptional skill with a warm and personable approach. He takes the time to listen, explain treatment options, and ensure you’re completely comfortable throughout the process. I felt genuinely cared for from start to finish.
Highly recommend Dr. Shah to anyone looking for a dentist who delivers top-notch care with kindness and integrity.